開 咬 矯正 千葉



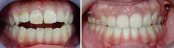
見えない矯正 Com千葉 東京 開咬をインビザラインで治す治療例 期間

見えない矯正 Com千葉 東京 開咬をインビザラインで治す治療例 期間

開咬 オープンバイト の矯正治療 千葉県八千代市の矯正歯科専門医 まきの歯列矯正クリニック

開咬 オープンバイト の矯正治療 千葉県八千代市の矯正歯科専門医 まきの歯列矯正クリニック

開咬の歯科矯正治療例 千葉県柏市で歯列矯正なら柏kt矯正歯科

開咬の歯科矯正治療例 千葉県柏市で歯列矯正なら柏kt矯正歯科

開咬 オープンバイト にはインビザライン 千葉県八千代市の矯正歯科専門医 まきの歯列矯正クリニック

開咬 オープンバイト にはインビザライン 千葉県八千代市の矯正歯科専門医 まきの歯列矯正クリニック

談二次矯正 崇愛牙醫診所 資料重建中 歡迎新舊朋友 痞客邦

談二次矯正 崇愛牙醫診所 資料重建中 歡迎新舊朋友 痞客邦

矯正治療 開咬 矯正歯科 専門医 渡辺矯正歯科クリニック 船橋市

矯正治療 開咬 矯正歯科 専門医 渡辺矯正歯科クリニック 船橋市

矯正治療 開咬 矯正歯科 専門医 渡辺矯正歯科クリニック 船橋市

見えない矯正 Com千葉 東京 開咬をインビザラインで治す治療例 期間

見えない矯正 Com千葉 東京 開咬をインビザラインで治す治療例 期間

如何不做手術 只靠牙齒矯正改善臨床上最棘手問題 開咬 Open Bite Correction Without Surgery 林榆芩醫師 痞客邦

如何不做手術 只靠牙齒矯正改善臨床上最棘手問題 開咬 Open Bite Correction Without Surgery 林榆芩醫師 痞客邦

門牙縫大漏財人緣差美齒矯正迎春納財桃花開

門牙縫大漏財人緣差美齒矯正迎春納財桃花開

開咬の歯科矯正治療例 千葉県柏市で歯列矯正なら柏kt矯正歯科

開咬の歯科矯正治療例 千葉県柏市で歯列矯正なら柏kt矯正歯科

大事な 顎間ゴム エラスティック 千葉県八千代市の矯正歯科専門医 まきの歯列矯正クリニック

大事な 顎間ゴム エラスティック 千葉県八千代市の矯正歯科専門医 まきの歯列矯正クリニック

控制牙周病前得先做矯正 銀髮族牙齒鬆動時這樣做更快控制口腔衛生

控制牙周病前得先做矯正 銀髮族牙齒鬆動時這樣做更快控制口腔衛生

隱適美invisalign全記錄 一年隱形矯正透明牙套和傳統鋼牙套比較 矯正專家楊念珊醫師 Livia S Wonderland薇笑樂園

隱適美invisalign全記錄 一年隱形矯正透明牙套和傳統鋼牙套比較 矯正專家楊念珊醫師 Livia S Wonderland薇笑樂園

第76回日本矯正歯科学会大会 田中矯正歯科 千葉県市川市

第76回日本矯正歯科学会大会 田中矯正歯科 千葉県市川市

如何不做手術 只靠牙齒矯正改善臨床上最棘手問題 開咬 Open Bite Correction Without Surgery 林榆芩醫師 痞客邦

如何不做手術 只靠牙齒矯正改善臨床上最棘手問題 開咬 Open Bite Correction Without Surgery 林榆芩醫師 痞客邦

インビザライン症例集 千葉県八千代市の矯正歯科専門医 まきの歯列矯正クリニック

インビザライン症例集 千葉県八千代市の矯正歯科専門医 まきの歯列矯正クリニック

談二次矯正 崇愛牙醫診所 資料重建中 歡迎新舊朋友 痞客邦

談二次矯正 崇愛牙醫診所 資料重建中 歡迎新舊朋友 痞客邦

隱適美invisalign全記錄 一年隱形矯正透明牙套和傳統鋼牙套比較 矯正專家楊念珊醫師 Livia S Wonderland薇笑樂園

隱適美invisalign全記錄 一年隱形矯正透明牙套和傳統鋼牙套比較 矯正專家楊念珊醫師 Livia S Wonderland薇笑樂園

矯正用ミニスクリュウを利用したケース 田中矯正歯科 千葉県市川市

矯正用ミニスクリュウを利用したケース 田中矯正歯科 千葉県市川市

對抗口呼吸 過敏 打鼾與顳顎關節症候群mrc功能性齒顎矯正系統 矯正三週後首度回診 Choyce寫育兒 旅行與生活

對抗口呼吸 過敏 打鼾與顳顎關節症候群mrc功能性齒顎矯正系統 矯正三週後首度回診 Choyce寫育兒 旅行與生活

大人の矯正 Download Instagram Hashtag Photos And Videos Imginn Com

大人の矯正 Download Instagram Hashtag Photos And Videos Imginn Com

矯正治療 開咬 矯正歯科 専門医 渡辺矯正歯科クリニック 船橋市

矯正治療 開咬 矯正歯科 専門医 渡辺矯正歯科クリニック 船橋市

單車事故連根噴飛兩顆門牙青少年意外這樣救回自信感謝林口長庚與竹北正霖牙醫 Choyce寫育兒 旅行與生活

單車事故連根噴飛兩顆門牙青少年意外這樣救回自信感謝林口長庚與竹北正霖牙醫 Choyce寫育兒 旅行與生活

千葉市若葉区 矯正歯科 マウスピース矯正 小児矯正 歯列矯正専門医 都賀デンタル

千葉市若葉区 矯正歯科 マウスピース矯正 小児矯正 歯列矯正専門医 都賀デンタル

Source : pinterest.com